Necmettin Erbakan Üniversitesi Diş Hekimliği Fakültesi Öğretim Üyesi Prof. Dr. Melek Taşsöker Bulut, ağız ve çene radyolojisinde yapay zekâ kullanımının teşhis doğruluğunu %99 seviyesine çıkardığını müjdeledi. Teknolojiyi bir "süper asistan" olarak tanımlayan Bulut, bu sistemlerin insan hatasını minimize ettiğini vurguladı.
Milimetrik Detaylar Yapay Zekânın Radarında
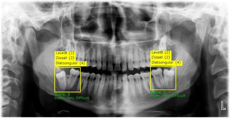
Geleneksel yöntemlerde yorgunluk ve dikkat dağınıklığı gibi insani faktörlerin hata payını artırabildiğini belirten Prof. Dr. Taşsöker Bulut, yapay zekânın veriyle beslenen gücüne dikkat çekti. 2 boyutlu panoramik filmlerden 3 boyutlu tomografilere kadar devasa bir veri havuzuna sahip olduklarını ifade eden Bulut, şu bilgileri paylaştı:
"Yapay zekayı sürece dahil etmemizin temel sebebi; insan gözünün kaçırabileceği milimetrik detayları yakalamaktır. Elde ettiğimiz veriler, yapay zekanın %99’a varan doğruluk oranlarıyla teşhis yapabildiğini gösteriyor. Bu, tıpta neredeyse 'sıfır hata' diyebileceğimiz bir devrimdir."
Ağız, Diş ve Çene Radyolojisi: Görünmez Kahraman
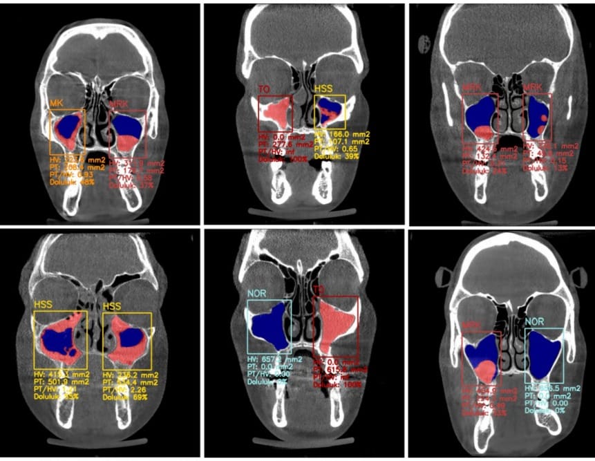
Türkiye’de uzman sayısı oldukça az olan Ağız, Diş ve Çene Radyolojisi branşının kritik önemine değinen Bulut, bu alanın çene ve yüz bölgesindeki karmaşık patolojilerin tespitinde anahtar rol oynadığını belirtti. Yapay zekânın, bir uzmanın yıllar içinde edindiği tecrübeyi standart bir diş hekimine aktarabilecek bir köprü vazifesi gördüğünü ekledi.
Akademiden Ticari Ürüne: Yatırımcı Bekleniyor
Mühendislik Fakültesi ile yürütülen multidisipliner çalışmalar sonucunda, bir hastayı baştan sona tarayıp teşhis sunabilen bir "klinik karar destek sistemi" kurmanın mümkün olduğu kanıtlandı. Ancak bu akademik başarının günlük klinik rutine ve bir telefon aplikasyonuna dönüşmesi için ticari desteğe ihtiyaç duyuluyor.
Prof. Dr. Taşsöker Bulut, Konya’daki iş insanlarına ve bürokratlara seslenerek, ellerindeki devasa görüntü arşivinin uluslararası bir yazılım markasına dönüşmesi için yatırım çağrısında bulundu.
"Hekimin Yerini Almayacak, Hekimi Güçlendirecek"
Hekimlerin "Yapay zekâ işimizi elimizden alacak mı?" kaygısının yersiz olduğunu savunan Bulut, geleceğin hekim profilini şu sözlerle özetledi:
-
Yapay zekayı kullananlar: Hız ve doğrulukta çağ atlayacak.
-
Kullanmayanlar: Teknolojinin ve çağın gerisinde kalacak.
Kontrol ve imza yetkisinin her zaman insanda kalacağını belirten Bulut, özellikle nadir görülen hastalıklar ve sinüs patolojileri gibi uzmanlık gerektiren durumlarda YZ analizlerinin yanlış tedavilerin önüne geçeceğinin altını çizdi.


